Savjeti > Parodontne bolesti
Dio problema sa kojima se susrećemo u ordinaciji dentalne medicine su i bolesti parodonta. Parodont je funkcijska cjelina pojedinih tkiva koja podupiru zub, a čine ga gingiva ( zubno meso ) i pričvrsni aparat ( parodontni ligament, cement zuba i alveolarna kost ). Parodontologija je , dakle, grana dentalne medicine koja se bavi poremećajima i oboljenjima parodonta.
Što je to gingivitis, a što parodontitis?
Gingivitis je upala gingive ( zubnog mesa ) koja okružuje zub, a očituje se crvenilom, otečenošću ( edemom ) i krvarenjem zubnog mesa. Parodontitis je upala koja osim zubnog mesa, zahvaća dublja tkiva, prvenstveno koštano tkivo, pri čemu dolazi do otapanja ( razgradnje ) potporne kosti zuba i stvaranja tzv. parodontnih džepova, a nastaje kao posljedica neliječenog gingivitisa.
Zbog čega nastaju gingivitis i parodontitis?
Glavni uzročnik je tzv. dentobakterijski plak. To je mekana, žućkasta tvorba koja čvrsto prianja uz zub, osobito uz rubove zubnog mesa. U manjim količinama nije vidljiv, nego tek kad se oboji specijalnim bojama. Nastaje pričvršćivanjem proteina iz sline na površinu zuba, a zatim dolazi do naseljavanja bakterija koje dovode do upale.

Čimbenici koji mogu pospješiti nastanak bolesti su: oslabljen imunitet domaćina, stres, pušenje, starija životna dob, slaba ishrana siromašna proteinima i vitaminima, dijabetes, neke sistemske bolesti, manjak kalcija, osteoporoza te psihosomatske bolesti.
Kako se liječi parodontitis?
Liječenje se može podijeliti na ambulantno i kućno.
Kod ambulantnog liječenja se nakon određivanja stupnja upale ( kontrola plaka, krvarenja i mjerenja dubine džepova ) odstranjuju tvrde i meke naslage sa zubi ( čišćenje kamenca ); džepovi se odstranjuju kirurškim zahvatom ( uklanjanjem tkiva ili sredstvima koja pospješuju regeneraciju tkiva ). Također je potrebno sanirati zube i izraditi protetski nadomjestak kako bi se žvačni pritisak ravnomjerno rasporedio. Potrebne su redovite kontrole svakih 3-6 mjeseci.
Kućno liječenje provodi pacijent sam, a sastoji se od redovite i pravilne oralne higijene koju preporučuje parodontolog ( zubna pasta i četkica, zubni konac, interdentalna četkica) te eventualne primjene nekog lokalnog antiseptika ili preparata na bazi hijaluronske kiseline.

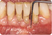
Razvoj parodontne bolesti
Zdrave desni - čvrste desni, zdrave blijedoružičaste boje, nema krvarenja.
Gingivitis - upalno promjenjene desni, intenzivno crvene boje, krvarenje kod četkanja, a ponekad i spontano. Prisutan otok gingive što dovodi do formiranja plitkih pseudodžepova koji pospješuju zadržavanje naslaga.
Umjereni parodontis - kronična upalna destrukcija potpornog tkiva zuba, džepovi postaju 4-6 mm duboki, javlja se slab zadah.
Uznapredovali paradontitis - ireparabilno oštećenje potpornog tkiva i okolne kosti, džepovi su duboki preko 6 mm i krvare, hranjenje je otežano, slab zadah je konstantan, loše opće stanje, vjerojatan gubitak zuba.


