NASLOVNICA
TIM
ZAŠTO MI
USLUGE
SAVJETI
LINKOVI
KONTAKT
Savjeti
Strah od doktora dentalne medicine
Anestezija i bezbolni zahvati
Karijes zuba
Karijes bočice
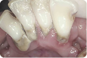
Parodontne bolesti
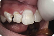
Zubni kamenac
Higijena usta i zubi
Paste za zube
Prehrambene navike
Nepodesne navike
Dentalna protetika
Oralna kirurgija
Hrkanje
Dentalna preventiva