Usluge >Dijagnostika
Pregled i anamneza
Nakon prvog pregleda i okvirnog razgovora o problemu pacijenta, potrebno je utvrditi stanje usta i zuba radi preciznog plana terapije.



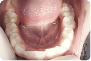
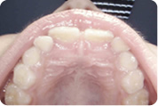
Intraoralna kamera
Prikaz zuba intraoralnom kamerom pod povećanjem i do 60 puta omogućuje nam uvid u stanje svakog pojedinog zuba i precizno planiranje radova. Jednako tako važna je i mogućnost jasnog prikaza zubnih lukova u cjelini i prikaza plana terapije našim pacijentima.
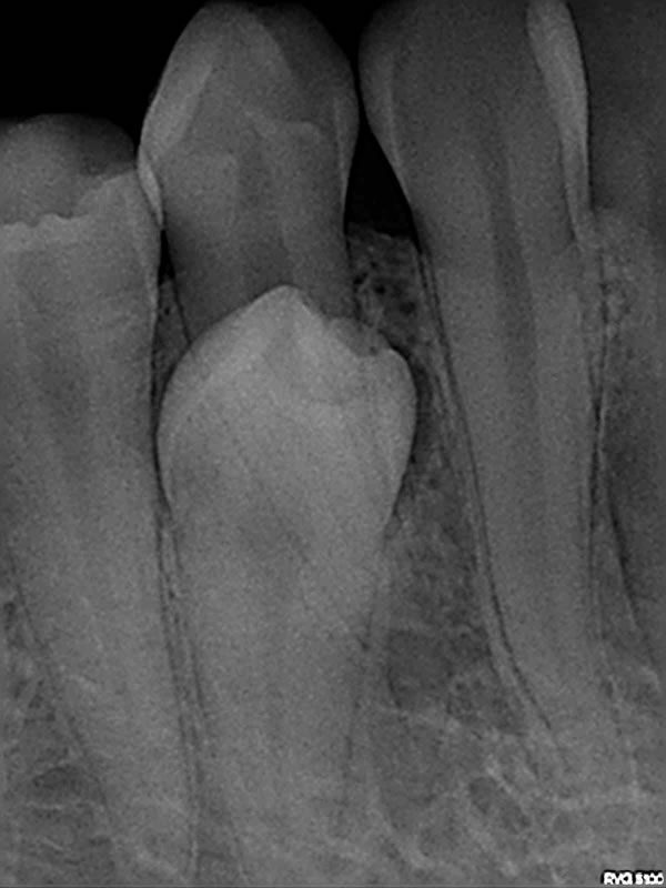
RTG / RVG
Digitalna tehnika snimanja zuba rtg /rvg aparatom omogućava nam trenutni prikaz stanja zuba i čeljusne kosti. Ordinacija je opremljena potpuno novim uređajem za rtg snimanje zuba sa minimalnim dozama ionizirajućeg zračenja. Kodak 2200 i Kodak 5100 i digitalnim senzorom za intraoralne snimke zuba.
Povećana pouzdanost dijagnostike
Kodakov visoko frekventni generator omogućuje postizanje snimaka vrlo visoke kvalitete, dok istovremeno maksimalno smanjuje izloženost radijaciji. Sa žarišnom točkom od 0.7 mm i preciznim usmjerenim zračenjem, Kodak 2200 pruža visoko kvalitetnu i preciznu snimku sa raznolikim stupnjem sivog spektra.
Maksimalna kvaliteta slike – Minimalna izloženost zračenju
Ovisno o anatomskom području slikanja, tjelesnoj težini pacijenta i vrsti filma ili senzora koji se koristi, Kodak 2200 sistem automatski podešava vrstu i vrijeme ekspozicije zračenja. Ta preciznost omogućuje maksimalnu redukciju izloženosti radijaciji.


